CAM boot

Disclaimer

These guidelines have been produced to guide clinical decision making for the medical, nursing and allied health staff of Perth Children’s Hospital. They are not strict protocols, and they do not replace the judgement of a senior clinician. Clinical common-sense should be applied at all times. These clinical guidelines should never be relied on as a substitute for proper assessment with respect to the particular circumstances of each case and the needs of each patient. Clinicians should also consider the local skill level available and their local area policies before following any guideline. 

Read the full CAHS clinical disclaimer

Mechanism of injury

Fractures suitable for Controlled Ankle Motion (CAM) boot use are usually sustained with inversion injuries of the ankle. Twisting injuries may cause a toddler’s fracture in younger children.  

Examination

Swollen and tender lateral malleolus or base of fifth metatarsal.

Management

  • The CAM boot should be worn day and night but can be removed for showering.
  • Patients can weight bear as tolerated whilst wearing the CAM boot.
  • It is recommended to wear a shoe on the other foot whilst walking in the CAM boot. 

The following lists the fractures which are suitable for CAM boot use and the follow up required.1

Refer to the individual fracture guidelines for management of other fractures: lower leg, ankle, foot.  

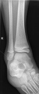
Avulsion fracture of distal fibula

Placeholder image

  • No formal follow up required.

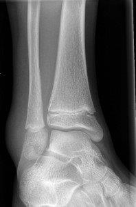
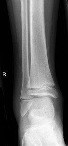
Salter Harris I fracture of fibula

Salter Harris 1 fracture of fibia

  • No formal follow up required.

Undisplaced Salter Harris II fracture of fibula

Undisplaced Salter Harris 2 fracture of fibula

  • Follow up GP 7-10 days for repeat X-ray.
  • If displaced, not suitable for CAM Boot.

Undisplaced epiphyseal fracture of distal fibula

 

  • Follow up GP 7-10 days for repeat X-ray.
  • If displaced, not suitable for CAM Boot.

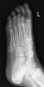
Avulsion fracture of base of fifth metatarsal

Avulsion fracture at base of fifth metatarsal

  • Follow up Orthopaedic Fracture clinic 7- 10 days.
  • If 4th and 5th inter-metatarsal joint involved (Jones Fracture), not suitable for CAM Boot.

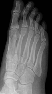
Single and multiple non-displaced metatarsal fractures

Single non-displaced metatarsal fracture     Multiple non-displaced metatarsal fractures

  • Follow up Orthopaedic fracture clinic in 7 - 10 days.

Toddler's fracture

Toddler's fractures

  • Follow up Orthopaedic Fracture Clinic in 1 week.

Procedure

Follow steps 1 to 6 to correctly apply the CAM Boot.

1. Measure the sole of the foot and add an extra 1-2 cm.

CAM boot, step 1: Measure the sole of the foot

2. Measure the sole of the CAM Boot to select the appropriate size. Open Velcro® straps and remove excess padding.

CAM boot, step 2: Measure the sole of the CAM boot

 

3. Place the heel firmly down the back of the CAM Boot.

CAM boot, step 3: Place feel firmly down the back of the CAM boot

 

4. Place padding over the foot (if required) and fasten Velcro straps.

CAM boot, step 4: Place padding over the foot (if required) and fasten Velcro straps

 

5. Ensure the toes are within the firm sole of the boot.

CAM boot, step 5: Ensure the toes are within the firm sole of the boot

6. Depending on the injury:

  • Weight bear as tolerated.
  • Partial weight bear with crutches.
  • Non-weight bearing with crutches.

Management paperwork

References

  1. Bradman K, Stannage K, O’Brien S, Green, S et al. Randomised controlled trial comparing immobilisation in above-knee plaster of Paris to controlled ankle motion boots in undisplaced paediatric spiral tibial fractures. (2021) Emerg Med J 2021;0:1–7. doi:10.1136/emermed-2020-210299 
  2. Nelson Textbook of Pediatrics: 21st Edition Kliegman RM, St. Geme J, Blum NJ, Shah SS et al.  Publisher: Elsevier 2020
 4. Place padding over the foot (if required) and fasten Velcro straps.
4. Place padding over the foot (if required) and fasten Velcro straps
4. Place padding over the foot (if required) and fasten Velcro straps

Endorsed by:  Co-director Surgical Services (Nursing)  Date: Mar 2024


 Review date:  Feb 2027


This document can be made available in alternative formats on request for a person with a disability.


Related CAHS internal policies, procedures and guidelines

Useful resources

Clinical Policy Feedback form

If you have any queries or comments that may improve our clinical policies, please advise the PCH Clinical Policy team by completing the feedback form.